A odontologia estética vive uma transformação silenciosa, mas consistente, em Campo Grande, impulsionada por técnicas menos invasivas e resultados mais naturais. Nesse contexto, procedimentos como implantes em cerâmica e cirurgia guiada sem cortes passam a ganhar espaço na cidade, acompanhando uma tendência nacional que valoriza tecnologia, conforto e previsibilidade no tratamento — movimento que já começa a ser incorporado por clínicas como a Clínica Plênia.
Tendência cresce, mas ainda avança de forma gradual
Embora já consolidadas em grandes centros, as técnicas minimamente invasivas ainda se estabelecem de forma gradual no mercado local. Ainda assim, o avanço é perceptível, especialmente entre pacientes que buscam soluções mais modernas e alinhadas à estética natural.
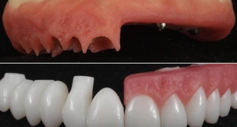
Os implantes em cerâmica, por exemplo, surgem como alternativa ao metal tradicional ao oferecer maior biocompatibilidade e um resultado visual mais harmônico. Além disso, evitam o escurecimento gengival, fator que, ao longo dos anos, passou a influenciar diretamente na decisão dos pacientes.
Ao mesmo tempo, a cirurgia guiada sem cortes representa um salto importante na forma como os procedimentos são realizados. Com base em planejamento digital e precisão milimétrica, a técnica elimina incisões tradicionais, reduz o tempo cirúrgico e proporciona uma recuperação significativamente mais confortável.
Esse conjunto de avanços indica uma mudança de mentalidade na odontologia estética, que deixa de priorizar apenas o resultado final e passa a valorizar toda a experiência do paciente.
Clínica Plênia aposta em abordagem integrada
Em Campo Grande, a Clínica Plênia surge como um dos espaços que acompanham esse movimento, apostando na integração entre tecnologia e planejamento individualizado. A proposta da clínica vai além da execução técnica, buscando alinhar diferentes áreas da estética para alcançar resultados mais naturais e seguros.
Nesse contexto, o uso de ferramentas digitais e materiais inovadores não aparece como diferencial isolado, mas como parte de uma construção mais ampla, que considera o paciente de forma completa.
De acordo com especialistas da área, a procura por esse tipo de abordagem tem crescido de forma consistente. O perfil do paciente atual prioriza tratamentos menos invasivos, com recuperação rápida e resultados que respeitem sua identidade estética.
A chegada dessas tecnologias, ainda que gradual, aponta para uma nova fase da odontologia na capital sul-mato-grossense. Mais do que uma tendência passageira, trata-se de um reposicionamento do setor, que passa a combinar inovação, conforto e personalização como pilares centrais da experiência.



